Quantra™ Technology

Standardiseret analyse af brysttæthed med maskinlæring på plejestedet.

Hologic Quantra™ Technology

    Oversigt

    Dokumenter

    Uddannelse

    Standardiser analyse af brysttætheden

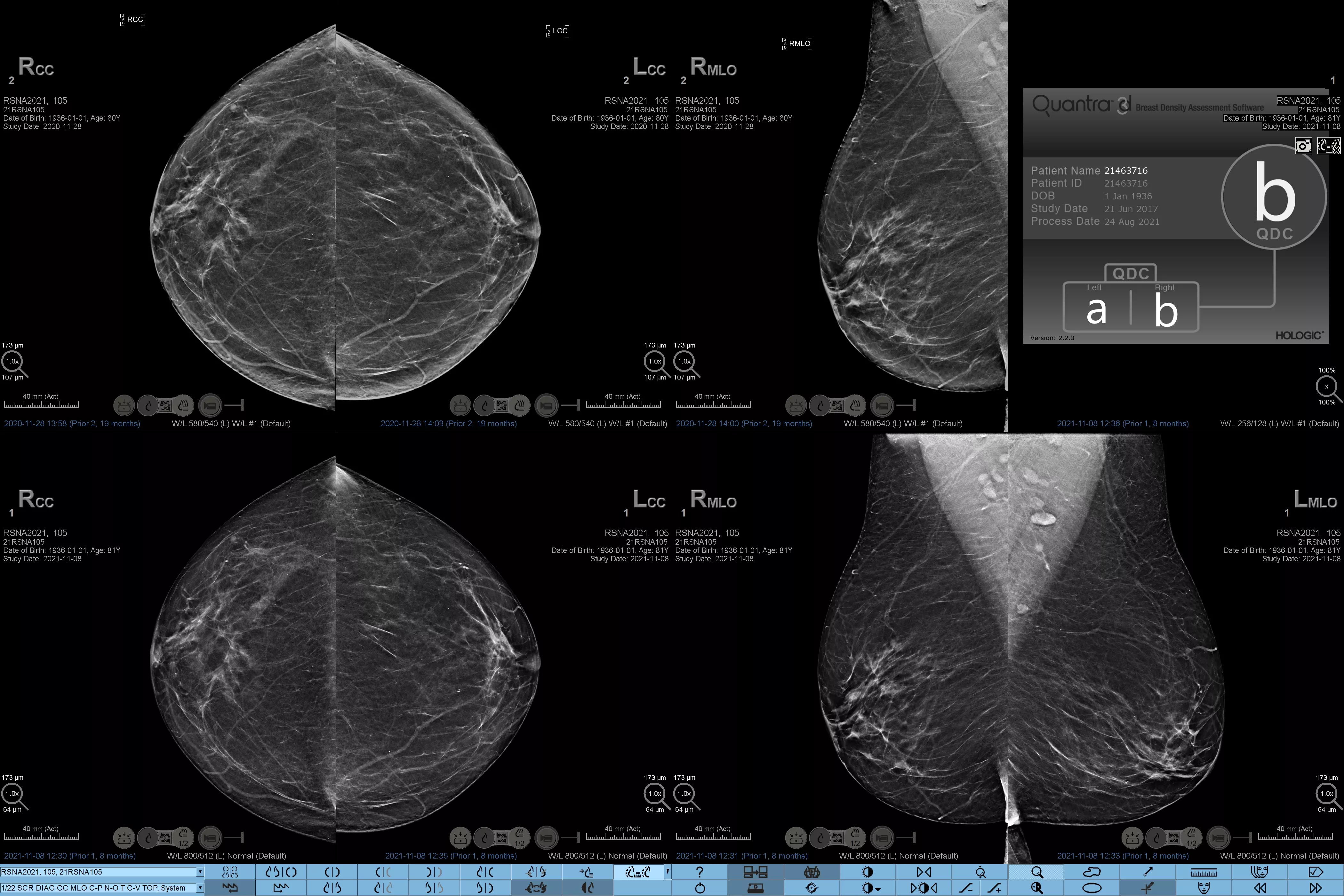
    Man ved, at højere brysttæthed øger en kvindes risiko for brystkræft.1 Behovet for nøjagtige, objektive analyser er derfor afgørende. Quantra-teknologisoftwaren er drevet af maskinlæring og analyserer både 2D™ og tomosyntesebilleder for fordeling og tekstur af parenkymvæv. Den kategoriserer bryster i fire brystkompositionskategorier i overensstemmelse med vejledningen fra American College of Radiology (ACR) BI-RADS Atlas 5th Edition.2

    Bedre risikoprognose

    Ud over volumen kan mønster og tekstur af fibroglandulært væv spille en lige så vigtig rolle ved forudsigelse af mammografisk kræftrisiko.3-5 Ved at analysere og kategorisere brysttekstur og -mønster kan vores teknologi levere de nøjagtige oplysninger, du har brug for til at opnå en mere konsekvent og pålidelig scoring og med sikkerhed designe patientspecifik screening.

    Objektiv vurdering

    Objektiv maskinlæringsalgoritme, der tildeler en kategori af brysttæthed baseret på analyse af brystvævets tekstur og mønstre.

    Standardisering

    Løft plejestandarden og standardiser rapportering på tværs af hele den radiologiske praksis.

    Mere ukomplicerede patientforløb

    Viser tæthed på optagelsesarbejdsstationen for at lette patienthåndteringsprotokoller for potentiel supplerende billeddannelse.

    Illustration af Hologic Breast Health Continuum of Care med radiologi

    Lås op for fordelen ved tid

    Vores Breast Health Continuum of Care tilbyder integrerede løsninger, der medfører klinisk pålidelighed, effektive arbejdsgange og omsorgsfuld patientpleje. Det giver flere kvinder længere tid med et bedre helbred.

    Quantra Technology er en del af Hologics Screening & Diagnosis Solution.

    Designformål og klinisk ydeevne

    Quantra-softwarens objektive algoritme analyserer både 2D- og tomosyntesebilleder for at understøtte din analyse ved at:

    • Overvinde subjektivitet ved visuel vurdering, giver mere konsekvent og mere pålidelig scoring.*
    • Løfter plejestandarden og standardiserer rapportering.
    • Leverer patienthåndteringsprotokoller for supplerende billeddannelse.
    Brystscanninger
    Kvinde, der henvender sig til receptionisten på hospitalets afdeling for brystscanning for at spørge om screening og diagnosticering

    Besøg vores virtuelle hospital

    Gennemse vores portefølje af løsninger i 3D til brystsundhed. Se hvordan du kan udnytte den tidsmæssige fordel i løbet af hele det sammenhængende patientforløb for bryst og sundhed.

    Hologic AI-drevne integrerede softwareløsninger

    Vores produkter er designet til at arbejde sammen og kan personaliseres til dine behov. Vores suite af integrerede, fremtidssikrede AI-løsninger, er designet til at forbedre tidlig påvisning og diagnosticering af brystkræft, bidrage til at accelerere arbejdsgangen samt muliggøre individualiseret patientpleje med automatiseret vurdering af brysttæthed. Drøft dine kliniske behov med vores erfarne team for at finde den bedste løsning, der passer til dig.

    Risikokategorier8

    Evidens. Viden. Samarbejde.

    Vores uddannelsesportal forbedrer patientpleje gennem fremragende uddannelse, kommunikation af klinisk og videnskabelig dokumentation og partnerskaber med sundhedsvæsenet.

    Viden

    Radiografer, der gennemgår en tomosyntesemammografi på en skærm Radiografer, der gennemgår en tomosyntesemammografi på en skærm

    Resultater af ToSyMa-forsøget, en 3D-fremtid for brystkræftscreening

    Kvinde, der sidder foran en mammograf med en sundhedsperson ved siden af. Kvinde, der sidder foran en mammograf med en sundhedsperson ved siden af.

    Screeningsprogrammer for bryst- og livmoderhalskræft nu og i fremtiden

    læge og patient, der taler om brystkræft læge og patient, der taler om brystkræft

    Minimalt invasive interventioner ved brystkræft uden operation

      * Scorer er baseret på ACR BI-RADS-kategorier på linje med den reviderede vejledning fra American College of Radiation (ACR) BI-RADS Atlas 5th Edition. Dette tager højde for mønster og tekstur i sammenlignet med volumen, når man bestemmer tæthed.
      ** Baseret på 8 timers billedtolkningstid pr. dag.
      1. Rafferty EA, Durand MA, Conant EF, et al. Breast Cancer Screening Using Tomosynthesis and Digital Mammography in Dense and Nondense Breasts. JAMA. 2016 Apr 26;315(16):1784-6.
      2. ACR BI-RADS Atlas, 5th Edition. 2013 Available at - https://www.acr.org/Clinical-Resources/Reporting-and-Data-Systems/Bi-Rads - (Accessed on: Nov 2019)
      3. Zuley M, Guo B, Catullo V, et al. “Comparison of Two-dimensional Synthesized Mammograms versus Original Digital Mammograms Alone and in Combination with Tomosynthesis Images.” Radiology. 2014 Jun;271(3):664-71. Epub 2014 Jan 21
      4. Durand M, Raghu M, Geisel J, et al. “Synthesized 2D Mammography + Tomosynthesis: Can We See Clearly?” (paper presented at the annual meeting of the Radiological Society of North America, Chicago, Il, December 2015).
      5. Choi J, Han B, Ko E, et al. “Comparison with Two-Dimensional Synthetic Mammography Reconstructed from Digital Breast Tomosynthesis and Full Field Digital Mammography for the Detection of T1 Breast Cancer.” European Radiology. 2016 Aug;26(8):2538-46. Epub 2015 Dec.
      6. Hologic’s interne data: DHM-08611 Rev 006.
      7. Hologic’s interne data: Clinical Study Report CSR-00116 Rev 004.
      8. Breast composition categories as described in ACR BI-RADS Atlas.

       

      Sikkerhedsdatablade

      Indlægssedler

      2797

      Hologic BV, Da Vincilaan 5, 1930 Zaventem, Belgium.

      Nummer på det bemyndigede organ, hvor relevant