Horizon® DXA System

Træf informerede beslutninger om diagnose og behandling på et sikkert grundlag. Giv patienterne den effektive pleje, som er en forudsætning for et godt liv.

Patient, der ligger på et scannerleje i et scanningslokale

    Oversigt

    Dokumenter

    Uddannelse

    Et DXA-system, som gør mere

    Hologics Horizon DXA System genererer de veldefinerede, klare, højopløsningsbilleder, der er en forudsætning for en nøjagtig vurdering af knogletæthed, frakturrisiko, kropssammensætning og kalcificeret plaque i aorta abdominalis. Alt i en enkelt undersøgelse. Systemet kombinerer en mængde avancerede, patentbeskyttede teknologier, som arbejder sammen for at give brugeren et præcist billede af, hvad der foregår i patientens krop. Uanset størrelse1 eller medicinsk tilstand.

    Suveræne billeder for et bedre liv

    Når du har dine patienters liv i dine hænder, vil du have billeder af højest mulige kvalitet for med nøjagtighed at kunne bestemme knoglemineraltætheden, lokalisere frakturer, identificere aortaforkalkninger og måle kropssammensætningen.

    Teknologi med høj opløsning

    En ny multielement detektorenhed indeholder den samme højopløsningsteknologi, som den der bruges i moderne CT-udstyr. Den gør det muligt at optage meget detaljerede, pålidelige billeder – også ved scanning af store, overvægtige patienter. Med sin alsidige teknologi tilvejebringer systemet styrken til at vurdere et omfattende udvalg af kliniske tilstande hurtigt og med præcision.

    Let at bruge

    Systemet er hurtigt at lære og nemt at anvende med en grafisk brugergrænseflade som strømliner undersøgelsesprocessen fra start til slut. Hertil kommer, at vi har indbygget en mængde innovative redskaber for at forbedre arbejdsgangen, øge produktiviteten og gøre det enkelt at kommunikere og samarbejde med andre klinikere, uanset hvor de måtte befinde sig.

    Forbedret patientoplevelse

    Med denne enkle men omfattende platform er det muligt at vurdere adskillige kroniske sygdomme under en og samme konsultation. Patienterne oplever komfort, korte undersøgelsestider og undersøgelser med lave røntgendoser, mens brugeren kan tilbyde en bred vifte af tjenesteydelser.

    Øget patientkapacitet

    Detektorenheden arbejder sammen med en ny højkapacitets røntgengenerator for at øge varmebelastningskapaciteten, hvilket giver en længere levetid uden nedkølingstid. Dette øger ikke alene patientkapaciteten, det forbedrer også billedkvaliteten. Systemets bemærkelsesværdige højopløsningsbilleder har til formål at gøre livet lettere for dig og dine patienter.*

    Grafik for sammenhængende patientforløb

    Lås op for fordelen ved tid

    Vores Breast Health Continuum of Care tilbyder integrerede løsninger, der medfører klinisk pålidelighed, effektive arbejdsgange og omsorgsfuld patientpleje. Det giver flere kvinder længere tid med et bedre helbred.

    Ud over sine øvrige kliniske anvendelser er Horizon DXA System en del af vores Metabolic Health Solution.

    Hold livet i bevægelse

    Følgende fakta taler deres tydelige sprog om de ødelæggende virkninger af kronisk sygdom. De peger også på en stigende efterspørgsel efter pålidelig screening, tidlig påvisning og individualiseret behandling med henblik på at hjælpe mennesker i verden med at få et længere og sundere liv.

    Efter 50+

    1 ud af 3 kvinder og 1 ud 5 mænd vil få en osteoporotisk fraktur2

    17 millioner

    mennesker i verden vil dø i år af kardiovaskulær sygdom3

    39 %

    af alle voksne i verden defineres som overvægtige eller fede4

    Besøg vores virtuelle hospital

    Gennemse vores løsninger i 3D i vores virtuelle Skeletal Health-afdeling og Bone and Metabolic Health-afdeling.

    Billede af det virtuelle hospital, der viser afdelingen for osteoporose og sundhed

    Én løsning med mange anvendelser

    Kliniske billeder

    En komfortabel patientoplevelse

    • En hurtig konsultation på 10 min. med scanninger, der dækker både hofte og rygsøjle.31
    • Patienten ligger på et komfortabelt leje med madras.
    • Ingen injektioner, ikke-invasivt og smertefrit.
    • Intet behov for forberedelse bortset fra at være iført komfortabelt tøj uden metalhægter, -knapper eller -lynlåse.
    • Meget lave røntgendoser – svarende til eller mindre end én dags baggrundsstråling eller mindre end den dosis man udsættes for på en flyrejse.31
    Patient, der ligger på et scannerleje på et laboratorium.

    Et system, der kan mere

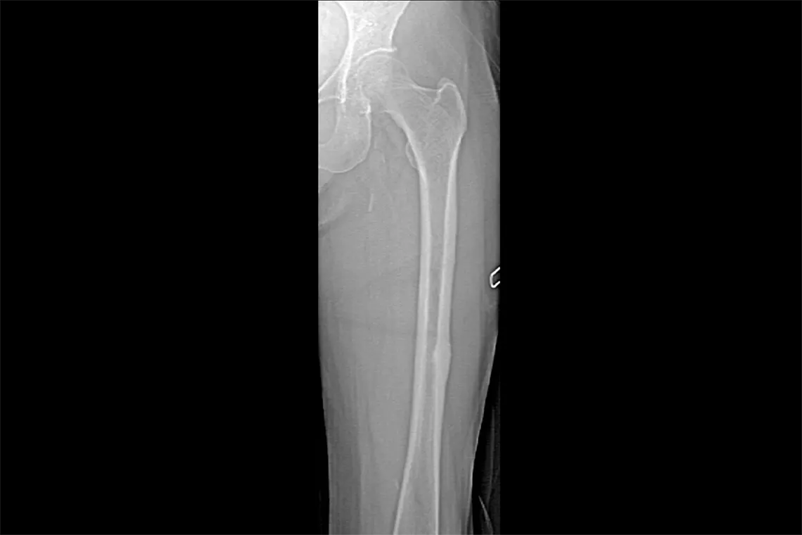
      Horizon DXA producerer kvalitetsrøntgenbilleder af hele femur til vurdering af potentielle atypiske femurfrakturer.31 En hurtig 15-sekunders scanning afslører kortikal fortykkelse af knoglen, hvilket gør det hurtigt og nemt at overvåge virkningen af behandling med bisfosfonater over tid.

      Visualisering af kalkplak i aorta abdominalis, som kan være et signifikant tegn på hjertesygdom og slagtilfælde – to af de væsentligste dødsårsager hos mænd og kvinder.

      Vurdering af frakturrisiko ved at kombinere en nøjagtig måling af knogletæthed med scanning i høj opløsning af ryghvirvler. Mulighed for at identificere frakturer i rygsøjlen med en lavdosis, single energy-scanning på 10 sekunder.

      Forbedret nøjagtighed og færre fejl under analysen efter undersøgelsen med præcis, softwareassisteret lokalisering af intervertebralt disc space til grafisk analyse.

      Hologics eksklusive dynamiske kalibreringssystem leverer pixel-by-pixel-kalibrering gennem knogle- og vævsækvivalenter — giver større langsigtet præcision.32

      En ny digital, keramisk højopløsningsdetektorenhed er parret med sand fanbeam scanningsgeometri for at muliggøre hurtig, dual-energy knogletæthedsmålinger med et enkelt scannings-sweep. OnePass eliminerer stråleoverlapningsfejl og billedforvrængning, der ses ved rektilineære scanningsteknikker — producerer den bedste billedkvalitet og datastabilitet. Endnu en eksklusiv løsning fra Hologic

      En innovativ grafisk brugergrænseflade forenkler patientopsætning, scanning, billedarkivering og dataoverførsel for at kunne forbedre arbejdsgangen og patienternes tilfredshed.

      Funktionen MXApro™ i betjeningssoftwaren APEX™ gradinddeler automatisk vertebrale deformiteter og kommunikerer dataene direkte til den integrerede diagnostiske funktion, Physician’s Report Writer™. Dette betyder, at arbejdsgangen kan accelerere med integreret, papirløs fjernfortolkning og rapportering med ét klik. Det er også muligt at vise og fortolke billeder og information hvor som helst og på en hvilken som helst enhed.

      IRIS™ Enterprise Connectivity Suite er genvejen til ægte papirløs densitometri. Gem billeder på en PACS, og download demografiske oplysninger og information om undersøgelsen direkte fra HIS til scanneren for at reducere fejl og omkostninger. Det er også muligt at sende BMD og Instant Vertebral Assessment™ DICOM-filer til Hologics Physicians Viewer™ program og PACS og derefter overføre rapporter til et HISD/RIS og EMR via HL7. Med vores valgfri software DB Sync™ kan man endda dele data mellem scannere på forskellige lokaliteter.

      Reducer operatørens involvering med 25 % med ægte automatisk patientpositionering og scanningsoptagelse. Express Exam™ softwaren fører brugeren gennem processen trin for trin.

      Evidens. Viden. Samarbejde.

      Vores uddannelsesportal forbedrer patientpleje gennem fremragende uddannelse, kommunikation af klinisk og videnskabelig dokumentation og partnerskaber med sundhedsvæsenet.

      Viden

      Radiografer, der gennemgår en tomosyntesemammografi på en skærm Radiografer, der gennemgår en tomosyntesemammografi på en skærm

      Resultater af ToSyMa-forsøget, en 3D-fremtid for brystkræftscreening

      Kvinde, der sidder foran en mammograf med en sundhedsperson ved siden af. Kvinde, der sidder foran en mammograf med en sundhedsperson ved siden af.

      Screeningsprogrammer for bryst- og livmoderhalskræft nu og i fremtiden

      læge og patient, der taler om brystkræft læge og patient, der taler om brystkræft

      Minimalt invasive interventioner ved brystkræft uden operation

        *Sammenlignet med tidligere modeller
        **FDA 510K-godkendelse K023398, K041226, K042480, K130277 (AFF), K113356(VAT), K103265(hele kroppen), K072847 (AAC), K060111 (AAC)
        1. Patientvægt op til 227 kg, MAN-04871 Rev 014 (10/2021)
        2. www.osteoporosis.foundation/facts-statistics/epidemiology-of-osteoporosis-and-fragility-fractures, sidst besøgt 3. januar 2023.
        3. www.who.int/news-room/fact-sheets/detail/ cardiovascular-diseases-(cvds), sidst besøgt 3. januar 2023
        4. www.who.int/news-room/fact-sheets/detail/obesity-and-overweight, , sidst besøgt 3. januar 2023
        5. Johnell O and Kanis JA (2006) An estimate of the worldwide prevalence and disability associated with osteoporotic fractures. Osteoporos Int 17:1726.
        6. www.osteoporosis.foundation/facts-statistics/epidemiology-of-osteoporosis-and-fragility-fractures, sidst besøgt 3. januar 2023.
        7. Keene, G.S., M.J. Parker, and G.A. Pryor, Mortality and morbidity after hip fractures. BMJ, 1993. 307(6914): p. 1248-50
        8. Borgström F, Karlsson L, Ortsäter G, et al. International Osteoporosis Foundation. Fragility fractures in Europe: burden, management and opportunities. Arch Osteoporos. 2020 Apr 19;15(1):59. doi: 10.1007/s11657-020-0706-y. 
        9. https://www.osteoporosis.foundation/facts-statistics/epidemiology-of-osteoporosis-and-fragility-fractures – sidst besøgt 3. januar 2023
        10. NIH, NHLBI Obesity Education Initiative. Clinical Guidelines on the Identification, Evaluation, and Treatment of Overweight and Obesity in Adults. / Kelly TL, Wilson KE, Heymsfield SB (2009) Dual energy X-Ray absorptiometry body composition reference values from NHANES.
        11. Cruz-Jentoft A.J., Baeyens J.P., Bauer J.M. et al. Sarkopeni: European consensus on definition and diagnosis: Report of the European Working Group on Sarcopenia in Older People, Age and Ageing, Volume 39, Issue 4, July 2010, side 412–42
        12. Marques A. & Queiros C. Frailty, Sarcopenia and Falls. In: Hertz, K., Santy-Tomlinson, J. (eds) Fragility Fracture Nursing. Perspectives in Nursing Management and Care for Older Adults. Springer, Cham. https://doi.org/10.1007/978-3-319-76681-2_2
        13. Baumgarner R.N., Koehler K.M., Romero L. et al. Epidemiology of Sarcopenia among elderly in New Mexico. Am J 1998;147: 755-63
        14. Baumgarner R.N. Body Composition in Healthy aging ANN N Y Acad Sci 2000:904:437-48
        15. Hadji P, Aapro MS, Body JJ, et al. Management of Aromatase Inhibitor-Associated Bone Loss (AIBL) in postmenopausal women with hormone sensitive breast cancer: Joint position statement of the IOF, CABS, ECTS, IEG, ESCEO IMS, and SIOG. J Bone Oncol. 2017 Mar 23;7:1-12. doi: 10.1016/j.jbo.2017.03.001. 
        16. Eastell R, Adams JE, Coleman RE, et al. Effect of anastrozole on bone mineral density: 5-year results from the anastrozole, tamoxifen, alone or in combination trial 18233230. J Clin Oncol. 2008 Mar 1;26(7):1051-7. doi: 10.1200/JCO.2007.11.0726. 
        17. Iyengar NM, Arthur R, Manson JE, et al. Association of Body Fat and Risk of Breast Cancer in Postmenopausal Women With Normal Body Mass Index: A Secondary Analysis of a Randomized Clinical Trial and Observational Study. JAMA Oncol. 2019 Feb 1;5(2):155-163. doi: 10.1001/jamaoncol.2018.5327. 
        18. Ballard-Barbash R, Schatzkin A, Carter CL, et al. Body fat distribution and breast cancer in the Framingham Study. J Natl Cancer Inst. 1990 Feb 21;82(4):286-90. doi: 10.1093/jnci/82.4.286. 
        19. E V Bandera, E M Johnl. Obesity, Body Composition, and Breast Cancer: An Evolving Science JAMA Oncol. 2018 Jun 1;4(6):804-805. doi: 10.1001/jamaoncol.2018.0125
        20. Freedman RJ, Aziz N, Albanes D, et al. Weight and body composition changes during and after adjuvant chemotherapy in women with breast cancer. J Clin Endocrinol Metab. 2004 May;89(5):2248-53. doi: 10.1210/jc.2003-031874. 
        21. Battisti S, Guida FM, Coppa F, et al. Modification of abdominal fat distribution after aromatase inhibitor therapy in breast cancer patients visualized using 3-D computed tomography volumetry. Clin Breast Cancer. 2014 Oct;14(5):365-70. doi: 10.1016/j.clbc.2014.02.003. Epub 2014 Mar 6. 
        22. https://www.europadonna.org/breast-cancer/#:~:text=1%20in%2011%20women%20in,younger%20than%2050%20years%20old*, sidst besøgt 13. februar 2023
        23. https://www.worldosteoporosisday.org/about-osteoporosis, sidst besøgt 13. februar 2023
        24. Kolb R, Zhang W. Obesity and Breast Cancer: A Case of Inflamed Adipose Tissue. Cancers (Basel). 2020 Jun 25;12(6):1686. doi: 10.3390/cancers12061686. PMID: 32630445; PMCID: PMC7352736.
        25. Han J., Harrison L., Patzelt L., et al. Imaging modalities for diagnosis and monitoring of cancer cachexia. EJNMMI Res. 2021 Sep 23;11(1):94. doi: 10.1186/s13550-021-00834-2. PMID: 34557972; PMCID: PMC8460705.
        26. Bailey DA, McKay HA, Mirwald RL, et al. A six-year longitudinal study of the relationship of physical activity to bone mineral accrual in growing children: the university of Saskatchewan bone mineral accrual study. J Bone Miner Res. 1999 Oct;14(10):1672-9. doi: 10.1359/jbmr.1999.14.10.1672. 
        27. Matkovic Timing of peak bone mass in Caucasian females and its implication or the prevention of Osteoporosis J Clin Invest 1994; 93,799-808
        28. Current Clinical Practice: Bone Densitometry in Growing Patients: Guidelines for Clinical Practice Edited by: A. J. Sawyer, L. K. Bachrach, and E. B. Fung © Humana Press Inc., Totowa, NJ
        29. www.who.int/news-room/fact-sheets/detail/ageing-and-health#:~:text=The%20pace%20of%20population%20ageing,from%2012%25%20to%2022%25. Accessed on Feb 13th.
        30. Sousa A.S., Guerra R.S., Fonseca I. et al. Financial impact of sarcopenia on hospitalization costs. Eur J Clin Nutr. 2016 Sep;70(9):1046-51. doi: 10.1038/ejcn.2016.73. Epub 2016 May 11.
        31. Horizon User Guide MAN-08072-002 Rev 003
        32. Hangartner TN. A study of the long-term precision of dual-energy x-ray absorptiometry bone densitometers and implications for the validity of the least-significant-change calculation. Osteoporosis Int. 2007 Apr;18(4); 513-23

        2797
        0482

        Hologic BV, Da Vincilaan 5, 1930 Zaventem, Belgium.

        Nummer på det bemyndigede organ, hvor relevant
        Oplysninger om autoriseret repræsentant i EU, hvor relevant